 |
 |
 |
 |
ADC |
 |
|
Da eine ortsnahe Versorgung für sehr spezielle Augenuntersuchungen wichtig ist, andererseits es keinen Sinn macht, dass jeder Augenarzt sämtliche teuren Untersuchunggeräte in seiner Praxis vorhält, betreiben wir mit 12 kooperierenden Augenarztkollegen aus Konstanz, Singen, Radolfzell und Überlingen ein ADC (Augendiagnosecenter) in Radolfzell. Radolfzell, in der Mitte zwischen Singen, Konstanz und Stockach gelegen, ist dafür der geeignete Standort. Hier der Lageplan und die teilnehmenden Augenärzte --> Plan [919 KB]
Die Terminierung und die Auswertung der Befunde findet - ähnlich wie bei CT, Kernspin und Röntgenaufnahmen - nur in unserer Praxis statt. Nur der eigentliche Vermessungs- oder Untersuchungsvorgang wird im ADC vorgenommen. Die Ergebnisse werden per Datenaustausch übertragen. Die folgenden Untersuchungstechniken, die den aktuellen modernen Stand der Augenmedizin darstellen, stehen unseren Patienten in dem von uns mitgegründeten ADC-Bodensee zur Verfügung.
|
 |

|
HRT III (Heidelberg Engineering) |
 |
|
zur Diagnostik von Erkrankungen des Sehnerven, insbesondere des Glaukoms, ist das HRT III (Computertomographie des Sehnervenkopfes) unverzichtbar. Die dreidimensionale Darstellung des Sehnerven, die wesentlich empfindlicher ist als herkömmliche - von der GKV akzeptierte Methoden - hilft Schäden verhindern, bevor diese zu Ausfällen im Gesichtsfeld führen. --> hier erfahren Sie mehr Bei einem gerade entdeckten Gesichtsfelddefekt sind bereits über 20% der Nervenfasern geschädigt. --> mehr zum HRT
|
 |

|
Zeiss OCT 3 |
 |
|
aus der speziellen Diagnostik von Erkrankungen der Netzhaut - insbesondere der Macula - ist die Oculäre Coherenz Tomographie, ein Laserverfahren, das ohne Belastung des Patienten zur Untersuchung von verschiedenen Netzhautschichten dient, nicht wegzudenken. Belastende Untersuchungen mit einem Risiko von Nebenwirkungen können mit dieser Technik vermieden werden. --> mehr zum OCT --> noch mehr dazu: http://www.meditec.zeiss.de/
|
 |

|
|
 |
|
|
 |

Computertomographische Ansicht eines Maculaloches
|
Computertomographie der Netzhaut und des Sehnerven |
 |
|
|
 |
 |
|
 |
|
|
|
|
Ein Loch in der Netzhautmitte
|
hier: fast normale Netzhaut
|
|
 |
 |
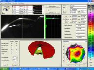
Hornhaut Topometrie, Pachymetrie |
 |
|
Mit der Pentacam kann nicht nur die Pachymetrie (Dicke der Horhaut) und eine Topometrie (Darstellung der Hornhautoberfläche) gemessen werden, auch ein optischer Schnitt durch das Auge (Scheimpflugkamera) ist möglich. Eine Darstellung der Oberfläche der Hornhaut dient unter anderem zur Anpassung spezieller Kontaktlinsen (Z.B. Keratoconus) ohne Topometrie und Pachymetrie lässt sich die Frage nach der Möglichkeit von refraktiven Eingriffen mit LASER wie z.B. LASIK nicht beantworten (wenn die Hornhaut zu dünn ist, geht's nicht). --> mehr dazu
--> mehr zur Pentacam
|
 |

wie Höhenlinien in einer Landkarte lässt sich die Krümmung der Hornhaut grafisch darstellen
|
Keratoconus = unregelmäßige Hornhautkrümmung |
 |
|
|
|
|
Die Topographie der Hornhaut hier bei Keratoconus lässt sich mit der Pentacam
|
wie eine Landkarte und wie ein Querschnitt des Auges darstellen und berechnen
|
|
 |
 |
Pentacam |
 |
|
Präzise Vermessung des Auges, der Hornhaut, der Hornhautdicke, des Kammerwinkels sind für die Abschätzung des Glaukomrisikos und der Therapie von Bedeutung. Die Pentacam vermisst mit Hilfe einer automatisch rotierenden Kamera den vorderen Augenabschnitt. Diese kontaktlose Messung dauert nur zwei Sekunden und erfasst die verschiedenen Ebenen des Auges durch 50 Aufnahmen. Fünf verschiedene Auswertungsmodule (Scheimpflugaufnahme, 3D-Kammeranalyse, Pachymetrie, Densitometrie und Hornhauttopographie) ermöglichen die differenzierte Auswertung der gewonnenen Daten. Zunehmende Dichte der Linse des Auges zeigt die Notwendigkeit der Planung und rechtzeitige Vorbereitung einer Staroperation.
|
 |

|
Nervenfaserdiagnostik mit "GDx" |
 |
|
Neues diagnostisches Gerät: GDx Nerve Fiber Analyzer (Zeiss-Meditec)
Vermessung der Nervenfaserschicht: Vermessung der Nervenzellenschicht im Auge mit dem GDx Nerve Fiber Analyzer der Fa. Zeiss-Meditec. Man spürt an sich selbst das Glaukom über Jahre nicht - weder durch Kopfschmerzen, Augeschmerzen, noch durch verminderte Sehkraft. Daher sucht man erfolgreich mit speziellen und neuesten Methoden frühzeitig nach dieser heimtückischen Krankheit. Hierzu gehört nicht nur die Messung des Augeninnendrucks oder die Betrachtung des Sehnervenkopfes, sondern auch die genaue Beurteilung der Nervenfaserschicht am Augenhintergrund. Diese weist bei fortschreitender Glaukomerkrankung eine zunehmende Ausdünnung oder auch lokale Veränderungen auf. Eine präzise Beurteilung ist nur mit der Nervenfaserschichtuntersuchung, die auch Nervenfaser-Polarimetrie genannt wird, möglich.Mit diesem Verfahren wird nicht nur die Oberflächenstruktur, sondern auch die Dicke der Nervenfaserschicht des Auges in dem Bereich der Netzhaut gemessen,in dem der Sehnerv aus dem Auge austritt.Nervenfaserkarte: Helle Farben stellen stärkere Schichten dar Eine Untersuchung mit dem GDx Nerve Fiber Analyzer benötigt wenig Zeit, ist vollkommen schmerzlos, blendfrei und ohne lästige Folgen. Sie erfordert keine Weitstellung der Pupille. Der Patient blickt einfach auf die blinkenden Ziellinien im Gerät. Ein unsichtbarer Laserstrahl durchleuchtet die Nervenfaserschicht der Netzhaut zweimal. Durch die Veränderung der Geschwindigkeit des Strahls kann der GDx die Dicke der Nervenschicht errechnen. Nach einer kurzen Auswertung werden die Befunde jeder Untersuchung sofort mit einer eingebauten Datenbank, die Normalwerte enthält, verglichen und zum späteren Vergleich abgespeichert. Veränderungen der Dicke der Nervenfaserschicht durch ein Glaukom können so im Rahmen von regelmäßigen Vorsorgeuntersuchungen extrem frühzeitig erkannt werden.
|
 |

|
Laser-Analyse der Nervenfasern |
 |
|
Durch Farbmarkierung lassen sich die Qualität der Nervenfasern um den Sehnerven beurteilen.
--> mehr dazu
|
 |

|
teilnehmende Augenärzte am ADC Bodensee |
 |
|
mit erst 3, dann 8 Augenärzten wurde 2001 das Augendiagnose Centrum Bodensee in Radolfzell gegründet. Mit den folgenden Jahren hat sich die Strategie, ortsnah die "high Tech" Diagnostik anbieten zu können, durchgesetzt. Die Untersuchungskosten für den Patienten liegen meist unter den Fahrtkosten zur nächstgelegenen Uni-Augenklinik - und mit der Fahrt ist es ja noch nicht getan. Die komplette Liste der heutigen Teilnehmer des ADC finden Sie --> hier
|
 |
 |
|
Druckbare Version
|